The stars of the show in this week’s science news were actually the stars themselves. It was a truly brilliant week for updates and discoveries related to these celestial furnaces.
Starting close to home, the sun spit out three consecutive solar outbursts toward Earth, causing this month’s second launch attempt of Blue Origin’s New Glenn rocket to be scrubbed and bringing auroras as far south as Florida. Luckily, our planet’s protective magnetosphere sheltered us from any harmful effects, but severe geomagnetic storms could be more damaging in the future, owing to a newly discovered weak spot in Earth’s invisible shield.
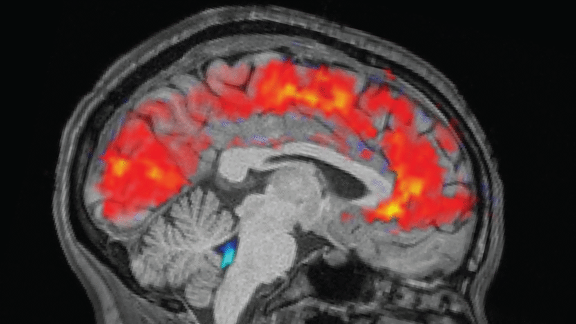
Scientists spot brains zoning out in real time
Ever get that feeling — say, at the end of the week — when you really want to pay attention to something important, but you just zone out and see people’s lips moving?
Well, scientists finally have a physiological explanation for why this happens when you’re sleep-deprived: Your brain is literally flushing out cerebrospinal fluid, making it nigh-impossible for you to concentrate. The exact functional reason for this is still unclear, but scientists think it could have something to do with sleep-deprived brains switching into sleep-like states, possibly as a form of waking brain waste disposal you missed out on the night before.
Discover more health news
—New antivenom works against 17 dangerous African snake species, study suggests
—Diagnostic dilemma: A woman’s homemade juice led to life-threatening ‘toxic squash syndrome’
Life’s Little Mysteries
Can you have thoughts without a brain? Probably not in the sense that we tend to define them, but it doesn’t mean that brainless creatures — such as jellyfish, sea urchins or sea stars — don’t show some signs of cognition.
—If you enjoyed this, sign up for our Life’s Little Mysteries newsletter
Like a pig out of hell
Ever heard of a “hell pig?” Me neither, until this week, but these ancient North American beasts in the genus Archaeotherium could weigh up to 2,000 pounds (1,000 kilograms).
Now, a new tooth analysis has revealed that the hell pigs had different feeding strategies depending on their sizes: The smaller species typically sheared flesh, while the larger species crushed bones with their horrifying teeth (there’s the “hell” part).
Archaeotherium was technically more closely related to hippos and whales than to pigs, but it’s a great name for an animal we’re mostly glad isn’t around anymore — especially as the preserved bites of the larger ones are indistinguishable from those of lions.
Discover more animals news
—Mammoth RNA sequenced for the first time, marking a giant leap toward understanding prehistoric life
Also in science news this week
—Exotic ‘time crystals’ could be used as memory in quantum computers, promising research finds
—Chinese astronauts are back on Earth after suspected ‘space junk’ strike left them stranded in space
—Prehistoric Jomon people in Japan had ‘little to no’ DNA from the mysterious Denisovans, study finds
—For the first time, physicists peer inside the nucleus of a molecule using electrons as a probe
Science Spotlight
Compared with classical computers, where do quantum computers excel? One answer sticks out: hacking.
Quantum systems can solve problems related to encryption significantly faster than the classical computers used by nearly all organizations, and cryptographers are facing a major challenge in designing algorithms that will be safe from quantum hacking. But how do you quantum-hack-proof a laptop? Live Science investigated in this Science Spotlight.
Something for the weekend
If you’re looking for something a little longer to read over the weekend, here are some of the best news analyses, crosswords and polls published this week.
—Some people love AI, others hate it. Here’s why. [Analysis]
—Live Science crossword puzzle #18: First human-made satellite in space — 11 across [Crossword]
—Science history: Russian mathematician quietly publishes paper — and solves one of the most famous unsolved conjectures in mathematics — Nov. 11, 2002 [Science history]
Science in pictures
This week’s science picture is something truly special and, despite its preposterous appearance, entirely real. The stunning shot was taken by an astrophotographer who captured a skydiver falling from a plane 8,000 feet (2,440 meters) away. The image is named “The Fall of Icarus” and more than lives up to its mythic title.
Something for the skywatchers
Save all your wishes for Monday (Nov. 17), when the Leonid meteor shower peaks.
The annual flurry of shooting stars is set to appear in the early hours that day and is produced by tiny particles from the Comet 55P/Tempel-Tuttle that burn up in the atmosphere to make meteors. This year could offer one of the best viewing windows for the fast-moving shower, owing to a nearly moonless night.
Follow Live Science on social media
Want more science news? Follow our Live Science WhatsApp Channel for the latest discoveries as they happen. It’s the best way to get our expert reporting on the go, but if you don’t use WhatsApp we’re also on Facebook, X (formerly Twitter), Flipboard, Instagram, TikTok, Bluesky and LinkedIn.



